【摘要】 本文系统解析小动物核磁共振成像中T1/T2序列的原理、差异及适用场景,针对离体样本、活体动物(如荷瘤模型、脑部、腹部)及体外材料(如造影剂、水凝胶)提供序列选择建议与技术要点,帮助解决成像效果差异、造影剂信号异常等常见问题。

文末领取核磁专属福利
在小动物核磁共振成像(MRI)实验中,你是否遇到类似问题:
同样是 T1WI 或 T2WI,不同样品成像效果差异明显;
离体样本与活体动物能否使用相同序列;
造影剂浓度提高后,信号却并未增强,甚至反而下降。
这些问题的背后,往往并非仪器性能不足,而是序列选择与参数设置未能匹配具体样品特性。本文结合小动物核磁成像的常见应用场景,从基础原理出发,梳理常用序列的物理意义,并总结不同类型样品在实际扫描中的推荐方案与技术要点,帮助你的实验设计更加高效、可控。
01核磁成像是什么
MRI(核磁共振成像)是一种先进的影像学技术,其原理简言之就是:核、磁、共振。
人体当中水分占到了绝大部分。而一个水分子,是由两个氢原子和一个氧原子组成,因此,人体当中有无数的氢质子,即“核”。磁共振检查,就是利用氢质子在磁场当中的运动情况,来进行显像,即“磁”。人体好比是一个操场,操场上三三两两分布着许多人,这些人的分布是不均匀的,随机的。这个时候,我们给他一个号令,在磁共振上叫做外加磁场,听到号令之后,这些人会分别的排队,组合形成有序的方阵,即“共振”。

然后,将外加磁场撤去,这些已经成型的队伍,再次恢复到杂乱无章的状态。那么,在这个从有序向无序转换的过程当中,会有极其微弱的电信号释放出来,磁共振的机器,可以探测出这种微弱的电信号,并且经过一系列的计算机的处理,形成人体内部的组织图像。
02小动物核磁常用序列及其特点
核磁共振成像(MRI)中的“序列”(sequence)是指一组特定的射频脉冲和梯度磁场组合,用于控制信号采集方式,从而突出组织的不同物理特性。其中最基础、最常用的序列是 T1加权(T1-weighted, T1WI) 和 T2加权(T2-weighted, T2WI) 成像。
(1)T1(纵向弛豫时间)
定义:组织在受到射频脉冲激发后,纵向磁化(沿主磁场方向)恢复到平衡状态所需的时间。
物理意义:反映组织将能量传递给周围环境(晶格)的速度。
T1 短 → 恢复快 → 信号强(如脂肪)。
(2)T2(横向弛豫时间)
定义:激发后,横向磁化(垂直于主磁场)因自旋失相而衰减的时间。
物理意义:反映组织内质子之间相互作用导致信号衰减的速度。
T2 长 → 衰减慢 → 信号强(如水、脑脊液)。

在小动物活体核磁成像中,还会常采用扩散张量成像(DTI)、3D TOF-MRA、T2*加权成像、动脉自旋标记ASL等。无论是哪种序列,本质上都是调整扫描参数(TR/TE)来“加权”突出对应组织或结构属性的成像方式。
选择合适序列,就能针对性地显示实验观测目标的解剖结构或病理变化。

03不同样品推荐序列及技术要点
(1)离体样本
离体脑、关节、尾椎、肩胛骨等:推荐T2WI为主;
固定方式:多聚甲醛固定或新鲜冷冻;
注意事项:明确成像平面(冠状/矢状/横断面);固定后组织可能收缩10–20%。


(2)体外材料
钆基造影剂:T1WI呈高信号,建议浓度0.5–1.0 mmol/L;
铁基造影剂:T2WI呈低信号,建议浓度5–10 mg Fe/mL;
水凝胶:T2WI可区分自由水(亮)与结合水(暗),需T2 mapping定量。

(3)活体动物
荷瘤小鼠:
T2WI肿瘤呈高信号(坏死区更亮),T1WI呈中低信号;

腹部成像:
在T1WI和T2WI中 肝脏均表现为中等低信号,脾脏在T2WI中表现为高信号,肾脏在T1WI中表现为高信号。
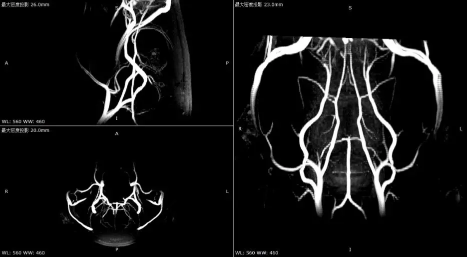
TOF-3D序列成像对高流速血管(如动脉)显示清晰,对低速血管(静脉、微小血管)敏感性差。
注射造影剂拍摄增强为佳;需伪影抑制设备。

脑部成像:
T2WI清晰显示灰质(稍高)、白质(稍低)、脑脊液(高信号);3D-TOF可清晰显示脑动脉。
活体扫描需麻醉,虚弱动物单次扫描建议≤30分钟。


04快问快答
Q1:T1WI vs T2WI如何选择?
选T1WI:看结构、脂肪、早期出血、纤维化;
选T2WI:看水肿、炎症、积液、急性梗死、肿瘤。
Q2:注射对比剂后血管信号降低?
是!动脉信号可能因饱和效应+T1过短反而降低;
解决方案:适当延长TR、优化翻转角。
Q3:钆造影剂浓度越高,T1WI信号反而下降?
是!高浓度时T2*效应压倒T1缩短效应,出现“浓度阈值现象”。
Q4:如何定量水凝胶中自由水与结合水?
T2 mapping:自由水T2 >1000 ms,结合水T2 <100 ms;
结合多回波拟合,可计算两类水比例。

小动物核磁9折优惠
扫码咨询了解
本文专享福利







您已经拒绝加入团体

