【摘要】 本文详细解析小动物功能成像与结构成像技术特点,包括PET、SPECT、显微CT、MRI等技术比较。科学指南针提供专业小动物成像测试服务。
小动物活体成像技术是现代生物医学研究的重要工具,能够非侵入性地获取生物体内部的结构和功能信息。面对众多成像技术,研究人员需要根据实验目标精准选择合适的方法。本文系统解析主流小动物成像技术的特点与应用场景,为科研工作提供实用参考。
成像技术分类体系
小动物成像技术可根据信息获取方式分为两大类别:功能成像和结构成像。功能成像主要反映生物体内的代谢、分子信号等动态过程,而结构成像侧重展示组织器官的解剖形态。理解这一分类体系是技术选择的基础。

功能成像技术详解
光学成像技术
光学成像依靠荧光或生物发光标记,能够特异性显示目标分子在体内的分布情况。该技术具有较高空间分辨率,但组织穿透深度有限,更适合小动物浅表组织研究。
活体显微镜技术在细胞和分子水平提供超高分辨率图像,适用于局部区域的动态观测,为微观机制研究提供重要手段。


核医学成像技术
正电子发射断层扫描(PET)基于放射性示踪剂原理,能够精确定量分子代谢和功能活动,灵敏度极高,但空间分辨率相对较低且存在辐射问题。

单光子发射计算机断层扫描(SPECT)在分子功能成像方面表现出色,示踪剂选择更加丰富,虽然空间分辨率略低于PET,但为多靶点研究提供可能。

多模态融合技术
光声成像结合光学成像的高对比度和超声的深层穿透优势,既能获取分子分布信息,又避免了电离辐射,在肿瘤学和神经科学研究中应用广泛。

结构成像技术分析
高分辨率结构成像
显微CT利用X射线断层扫描技术,能够清晰呈现骨骼等硬组织的三维结构,空间分辨率达到微米级别,是骨骼研究和肿瘤骨转移模型的重要工具。

磁共振成像(MRI)凭借其卓越的软组织对比度,能够精细显示脏器解剖结构,支持多参数成像,为神经科学和心血管研究提供有力支持。

实时动态成像
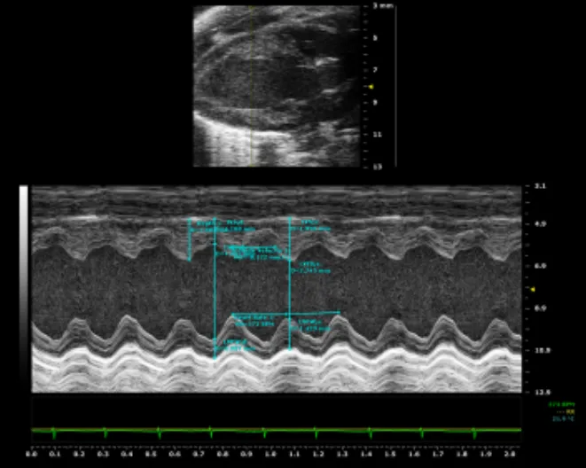
超声成像具有实时、动态的特点,能够观察软组织的结构变化,设备便携、无辐射风险,在心血管和胚胎发育研究中优势明显。

技术选择决策指南
根据研究目标选择
分子机制研究:优先考虑PET、SPECT或光学成像
解剖结构观察:选择显微CT或MRI
动态过程监测:超声或光学成像更为适合
多参数综合分析:多模态融合技术是最佳选择
综合考虑技术参数
空间分辨率:显微CT>MRI>光学成像>PET/SPECT
穿透深度:PET/SPECT>MRI>超声>光学成像
时间分辨率:超声>光学成像>MRI>显微CT
成本效益:需平衡设备投入与科研需求
技术发展趋势与创新
随着技术进步,多模态融合成像成为发展方向,如PET-CT、PET-MRI等一体化设备,能够同时获取功能与结构信息。新型探针开发和图像算法进步也在不断提升成像质量和应用范围。
科学指南针小动物成像服务
针对小动物成像研究需求,科学指南针提供专业的技术服务支持:
成像平台:
-
显微CT高分辨率结构成像
-
光学活体成像系统
-
小动物超声成像平台
-
多模态图像融合分析
服务特色:
-
专业团队提供方案设计支持
-
先进成像设备保障数据质量
-
个性化图像处理与分析
-
全程技术指导与结果解读
平台致力于为科研人员提供可靠的技术支持,推动生命科学研究进展。

活体成像9折优惠
扫码咨询了解
本文专享福利







您已经拒绝加入团体

