【摘要】 深度解析低压透射电镜(LVEM)的工作原理:低电压电子束提升生物/高分子样品对比度,减少损伤,体积缩小90%,操作简单。对比传统电镜,揭秘轻元素成像优势。
低电压透射电镜(简称LVEM)通过革新性设计,将电子束加速电压降至传统电镜的1/10以下。这种低压环境显著增强了电子与样品的相互作用力,直接提升图像分辨率和对比度,尤其适用于高分子材料、生物组织等轻元素样品。同时,低能量电子束大幅降低样品损伤风险。
一、工作原理:电子与物质的精准对话
当低压电子束穿透超薄样品时,样品原子对电子产生可控散射,改变其运动轨迹。散射电子经电磁透镜聚焦后,在荧光屏生成高精度显微图像,清晰呈现纳米级结构特征。整个过程需在真空环境中完成,避免气体分子干扰电子路径。
二、核心组件的高效协同
1.电子源:发射稳定低能电子流
2.样品腔:精密定位观测区域
3.成像系统:实时转化电子信号为可视图像
4.真空系统:维持10⁻⁵Pa级超高真空
5.智能控制系统:一键调节放大倍数/对焦参数
三、对比传统电镜的颠覆性优势
|
参数 |
传统TEM |
LVEM |
|---|---|---|
|
加速电压 |
60-300kV |
5-25kV |
|
占地空间 |
专用实验室(≥20㎡) |
桌面型(0.5㎡) |
|
安装要求 |
防震地基+水冷系统 |
普通桌面环境 |
|
轻元素对比度 |
需重金属染色 |
原生状态直接成像 |
|
操作培训周期 |
3-6个月 |
3天以内 |
四、革命性成像性能验证
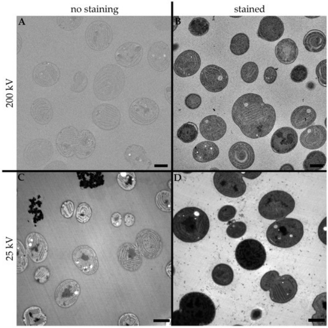
在蓝藻细胞观测中(图1),25kV未染色样品展现出突破性效果:
- 类囊体(↑箭头)、羟基体(△标志)等超微结构清晰可辨
- 糖原颗粒(gg标识)对比度较200kV设备提升10倍
- 细胞表面无染色噪点,刀切痕迹清晰可见
%20200%20kV%E5%8A%A0%E9%80%9F%E7%94%B5%E5%8E%8B%EF%BC%8C%E6%97%A0%E6%9F%93%E8%89%B2%E8%93%9D%E8%97%BB%E7%BB%86%E8%83%9E%E5%88%87%E7%89%87%EF%BC%8C(B)%20200%20kV%E5%8A%A0%E9%80%9F%E7%94%B5%E5%8E%8B%EF%BC%8C%E7%94%A8%E9%86%8B%E9%85%B8%E5%8F%8C%E6%B0%A7%E9%93%80%E5%92%8C%E6%9F%A0%E6%AA%AC%E9%85%B8%E9%93%85%E6%9F%93%E8%89%B2%E8%93%9D%E8%97%BB%E7%BB%86%E8%83%9E%E5%88%87%E7%89%87%EF%BC%8C(C)%2025%20kV%E5%8A%A0%E9%80%9F%E7%94%B5%E5%8E%8B%EF%BC%88LVEM25%EF%BC%89%EF%BC%8C%E6%97%A0%E6%9F%93%E8%89%B2%E8%93%9D%E8%97%BB%E7%BB%86%E8%83%9E%E5%88%87%E7%89%87%EF%BC%8C(D)%2025%20kV%E5%8A%A0%E9%80%9F%E7%94%B5%E5%8E%8B%E5%B9%B6%E7%94%A8%E4%B9%99%E9%85%B8%E5%8F%8C%E6%B0%A7%E9%93%80%E5%92%8C%E6%9F%A0%E6%AA%AC%E9%85%B8%E9%93%85%E6%9F%93%E8%89%B2%E8%93%9D%E8%97%BB%E7%BB%86%E8%83%9E%E5%88%87%E7%89%87%E3%80%82%5B1%5D.png)
图1. (A) 200 kV加速电压,无染色蓝藻细胞切片,(B) 200 kV加速电压,用醋酸双氧铀和柠檬酸铅染色蓝藻细胞切片,(C) 25 kV加速电压(LVEM25),无染色蓝藻细胞切片,(D) 25 kV加速电压并用乙酸双氧铀和柠檬酸铅染色蓝藻细胞切片。[1]
关键数据佐证:
对20nm碳膜样品,5kV成像对比度比100kV高10倍
可检测0.005g/cm³密度差异(相当于单层分子质量差)
五、多领域应用场景
1.生物医学:核酸/病毒原位观测,避免铀铅染色毒性
2.高分子材料:纳米纤维结构无损解析
3.新能源:锂电池隔膜微孔直接成像
4.教学场景:本科生可独立操作的科研级设备
科学指南针已获得检验检测机构资质认定证书(CMA)、实验动物使用许可证、“ISO三体系认证”等专业认证,并荣获国家高新技术企业、国家“互联网+科研服务领军企业等多项荣誉。未来,科学指南针将继续朝着“世界级科研服务机构”的目标,在产品研发和用户服务等方面持续努力,为科学发展和技术创新做出更大贡献。
免责声明:部分文章整合自网络,因内容庞杂无法联系到全部作者,如有侵权,请联系删除,我们会在第一时间予以答复,万分感谢。







您已经拒绝加入团体

